Viral
Un hombre de 43 años se somete a una cirugía para extraer un cepillo de dientes de su pene
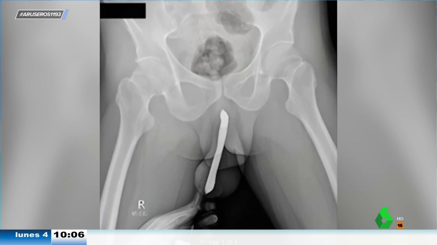
Las radiografías que pueden verse en el vídeo principal de esta noticia pertenecen a un hombre indonesio de 43 años. En ellas puede verse con claridad que tiene un cepillo de dientes alojado debajo del prepucio. Así nos cuentan la noticia en Aruser@s.

Este hombre de 43 años ha tenido que someterse a una cirugía extractora después de que se le rompiera un cepillo de dientes en el interior del pene. "No en el interior del ano. ¡En el interior del pene!", insiste Alfonso Arús tras ver las radiografías que lo demuestran con una claridad pasmosa.
"¿Cómo ha logrado introducirlo hasta ahí?", se pregunta con asombro Sebas Maspons. Su compañero David Broc responde. "No lo sé, no lo he probado nunca". Los colaboradores de Aruser@s están completamente anonadados con esta noticia. "El objeto, reconocido por él, fue insertado en el órgano sexual por el propio paciente", precisa el presentador.
Las risas comienzan a desatarse en plató y Angie Cárdenas no duda en bromear sobre el asunto. "¿Qué quiere: duro, medio, sensible?", pregunta entre risas. "Hay gente que hace este tipo de cosas. No es nada nuevo", lamenta Òscar Broc.
(*) Disfruta de los mejores momentos de la temporada de Aruser@s este verano en Aruser@s Fresh. Todos los días de lunes a viernes de 9:00 h a 11:00 h y también en laSexta.com.