Astronomía, divulgación, descubrimientos, ecología, innovación...

Una mujer con parálisis vuelve a hablar 18 años después de sufrir un ictus gracias a la IA

Los ictus aumentan entre los adultos jóvenes: estas son las razones

Superar un ictus, la recompensa que no llega cuando uno quiere

Tener depresión podría relacionarse con sufrir un ictus años más tarde

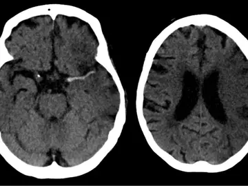
El ictus cerebral mata las neuronas mediante ondas eléctricas letales

Los científicos consiguen leer el pensamiento y traducirlo en palabras











