Publicado en Nature
Un estudio universitario identifica una molécula que potencia la quema de grasa
La investigación, dirigida por profesionales de la Universidad y el Hospital Universitario de Bonn (Alemania), ha sido publicada en la revista científica Nature.

Un estudio dirigido por la Universidad y el Hospital Universitario de Bonn (Alemania) ha identificado una molécula, la purina inosina, que potencia la quema de grasas en los adipocitos marrones. El mecanismo, publicado en la revista científica 'Nature', se descubrió en ratones, pero "probablemente" también existe en los humanos, según recoge Europa Press.
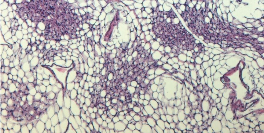
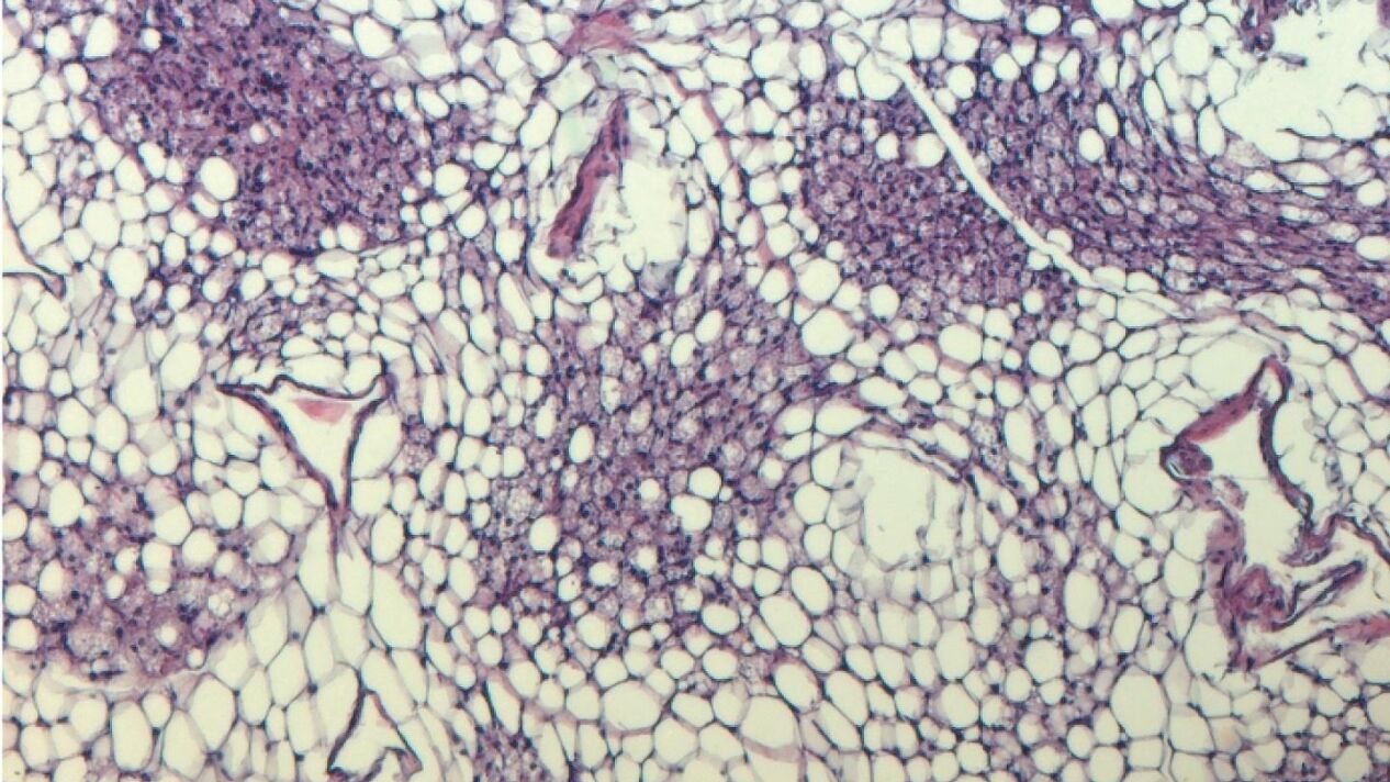
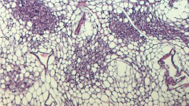
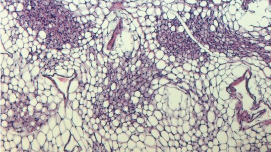
"Si un transportador de inosina es menos activo, los ratones se mantienen significativamente más delgados a pesar de una dieta alta en grasas", informa dicha agencia. Normalmente, las células grasas almacenan energía. Sin embargo, en las células de grasa marrón, la energía se disipa en forma de calor, por lo que la grasa marrón sirve de calentador biológico. Por ello, la mayoría de los mamíferos disponen de este mecanismo que en los humanos mantiene calientes a los recién nacidos; mientras que en los adultos, la activación de la grasa parda se correlaciona positivamente con la salud cardiometabólica.
Nos movemos menos que nuestros antepasados
"Hoy en día, sin embargo, estamos bien abrigados incluso en invierno. Así que los hornos propios de nuestro cuerpo ya casi no son necesarios. Al mismo tiempo, llevamos una dieta cada vez más densa en energía y también nos movemos mucho menos que nuestros antepasados. Estos tres factores son un veneno para las células de grasa marrón: Poco a poco dejan de funcionar y acaban muriendo. Por otra parte, el número de personas con sobrepeso severo en todo el mundo sigue aumentando. Por ello, grupos de investigación de todo el mundo buscan sustancias que estimulen la grasa parda y aumenten así la quema de grasas", afirma Alexander Pfeifer, uno de los responsables del trabajo.
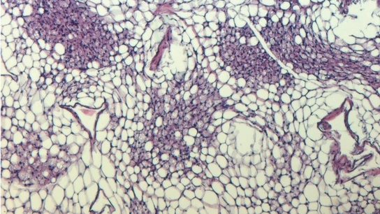
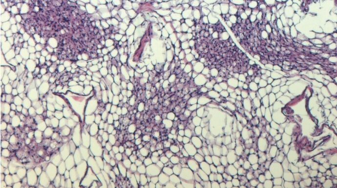
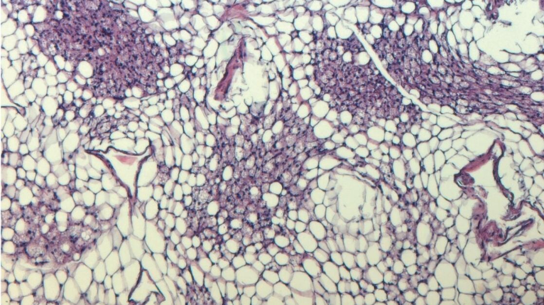
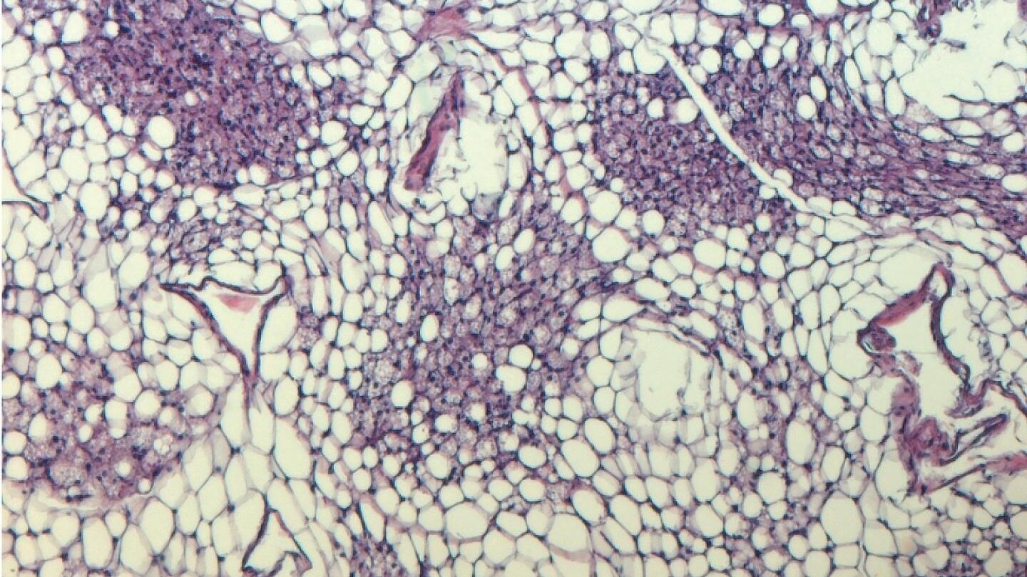
Junto con un grupo de colegas, el equipo de la Universidad de Bonn ha identificado ahora una molécula clave llamada inosina que es capaz de quemar grasa. "Se sabe que las células moribundas liberan una mezcla de moléculas mensajeras que influyen en la función de sus vecinas. Queríamos saber si este mecanismo también existe en la grasa parda", detalla Birte Niemann, otro de los autores de la investigación.
Por ello, los investigadores estudiaron las células de grasa parda sometidas a un estrés severo, de modo que las células prácticamente morían. "Descubrimos que segregan la purina inosina en grandes cantidades", dice Niemann.
Sin embargo, lo más interesante fue cómo las células de grasa parda intactas respondieron a la llamada de auxilio molecular: Se activaron por la inosina (o simplemente por las células moribundas de su entorno). Así, la inosina avivó el fuego en su interior. Las células de grasa blanca también se convirtieron en sus hermanas marrones. Los ratones alimentados con una dieta alta en energía y tratados al mismo tiempo con inosina se mantuvieron más delgados en comparación con los animales de control y quedaron protegidos de la diabetes.
Fármaco para los trastornos de coagulación
El transportador de inosina parece desempeñar un papel importante en este contexto. Esta proteína de la membrana celular transporta la inosina al interior de la célula, reduciendo así la concentración extracelular. Por lo tanto, la inosina ya no puede ejercer su efecto promotor de la combustión. "Hay un fármaco que en realidad se desarrolló para los trastornos de la coagulación, pero que también inhibe el transportador de inosina. Administramos este fármaco a ratones y, como resultado, quemaron más energía", dice Pfeifer.
Los humanos también tienen un transportador de inosina. Entre un dos y un cuatro por ciento de las personas es menos activo debido a una variación genética. "Nuestros colegas de la Universidad de Leipzig han analizado genéticamente a 900 individuos. Los sujetos con el transportador menos activo eran significativamente más delgados de media", explica Pfeifer. Estos resultados sugieren que la inosina también regula la termogénesis en las células de grasa marrón humanas. Por tanto, las sustancias que interfieren en la actividad del transportador podrían ser potencialmente adecuadas para el tratamiento de la obesidad. El fármaco ya aprobado para los trastornos de la coagulación podría servir de punto de partida.
"Sin embargo, se necesitan más estudios en humanos para aclarar el potencial farmacológico de este mecanismo", afirma Pfeifer. Tampoco cree que una píldora por sí sola vaya a ser la solución a la pandemia de obesidad en el mundo. "Pero las terapias disponibles no son lo suficientemente eficaces por el momento. Por tanto, necesitamos desesperadamente medicamentos para normalizar el equilibrio energético en los pacientes obesos", subraya.