Astronomía, divulgación, descubrimientos, ecología, innovación...

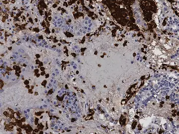
Un reciente descubrimiento revela que una infección grave por COVID-19 puede reducir el tamaño de los tumores

Así es XEC, la nueva variante del covid: principales síntomas

Los telómeros se acortan tras un año de covid-19 grave

Los bebés nacidos en la pandemia no tienen más riesgo de tener autismo

La covid persistente podría provocar un estado inflamatorio crónico

Las vacunas contra la covid-19 salvaron la vida a 1,6 millones de personas en Europa

Según un estudio, las ballenas fueron más felices durante el covid

Los pacientes con covid persistente conservan ARN viral y células T activas durante años

Así es KP.3, la nueva variante de covid que coincide con un repunte de los contagios en España

Un estudio apoya las dosis de refuerzo frente a la covid-19 en pacientes con cáncer

Esta es la razón por la que la UE ha suspendido la comercialización de la vacuna COVID de AstraZeneca







