Astronomía, divulgación, descubrimientos, ecología, innovación...

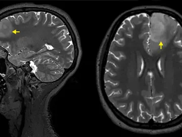
Siete señales de advertencia de tumor cerebral que podrías pasar por alto fácilmente

El uso de este anticonceptivo podría provocar un tumor cerebral

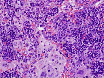
Descubren una nueva terapia contra el gioblastoma

Nuevo tratamiento para el cáncer de páncreas: bloquear los nervios

Un reciente descubrimiento revela que una infección grave por COVID-19 puede reducir el tamaño de los tumores

Este fármaco sería efectivo contra los tumores cerebrales

Descubren dos genes esenciales relacionados con la reducción de tumores cerebrales

Los tumores de vejiga se reducen en un 90% con el uso de nanorrobots











