MÁS DE 7.600 FALLECIMIENTOS
Descubren una molécula que ayuda a madurar a las células del páncreas y limita el desarrollo de tumores
Sin la molécula NFIC el páncreas se vuelve más propenso a formar tumores, según indica un estudio del Centro Nacional de Investigaciones Oncológicas, publicado en Nature Communications. Este tipo de cáncer es el tercero con mayor mortalidad en España, con más de 7.600 fallecimientos anuales.

Publicidad
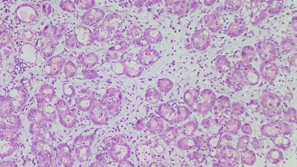
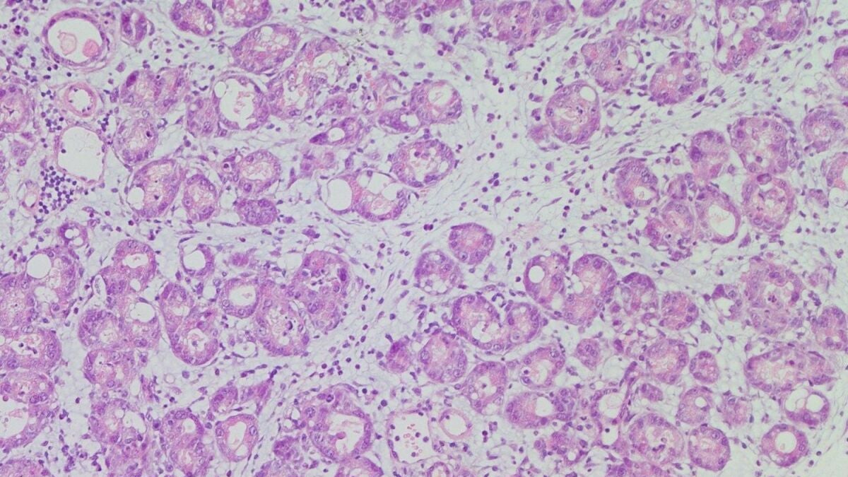
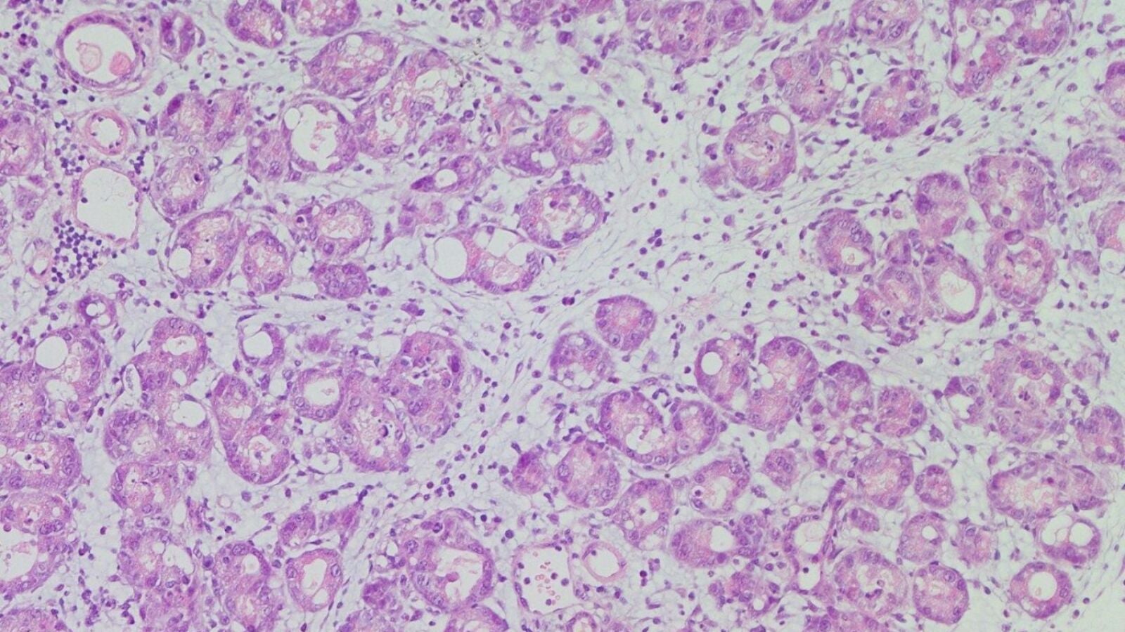
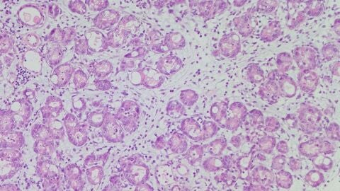
El páncreas, situado detrás del estómago, gestiona el suministro de energía de nuestro organismo. Lo hace segregando las proteínas (enzimas) responsables de que la glucosa, el principal combustible del cuerpo, llegue a otros órganos en el momento y cantidad necesarios. Estas proteínas se generan en las llamadas células acinares, que constituyen el 85% del páncreas y cuyo funcionamiento preciso aún está en investigación.
Un equipo liderado por Francisco X. Real, jefe del Grupo de Carcinogénesis Epitelial del Centro Nacional de Investigaciones Oncológicas (CNIO), ha hallado un nuevo elemento relacionado con el funcionamiento de las células acinares y los procesos que participan en la formación de tumores en el páncreas. Su trabajo se publica en Nature Communications, con el investigador del CNIO Isidoro Cobo como primer autor.
Los investigadores han descubierto que una molécula llamada NFIC es clave para el correcto funcionamiento de las células acinares. Este hallazgo ayudará a entender qué ocurre cuando los procesos normales fallan y se originan el cáncer u otras lesiones.
"Las células acinares son grandes factorías de proteínas", explica Real. "En nuestro laboratorio nos interesa saber cómo trabajan, porque cuando su función se perturba se favorece el progreso del tumor. El descubrimiento del papel de NFIC supone un paso más en el conocimiento de cómo las células del páncreas evitan mecanismos alternativos a su funcionamiento normal, que puedan favorecer el desarrollo del cáncer".
Una función desconocida hasta ahora
Hasta ahora se conocía que NFIC participa en la formación de los dientes y en los cambios propios de la lactancia en las glándulas mamarias, y también coarta la activación de algunos genes que pueden causar ciertos tumores de mama, pero se desconocía que tuviera una función en el páncreas. Este trabajo ha concretado su papel para que las células acinares funcionen adecuadamente, a pleno rendimiento.
"Lo más importante es que NFIC pertenece a una familia de proteínas que no se había involucrado hasta ahora en la fisiología del páncreas", subraya Real.
En la publicación explican que, si se desactiva NFIC, las células acinares no maduran correctamente, y el páncreas responde peor al daño y se vuelve más propenso a iniciar la formación de tumores.
El cáncer de páncreas es el tercer tipo de cáncer con mayor mortalidad en España (la Sociedad Española de Oncología Médica registró 7.663 fallecimientos en 2021). Con un rápido desarrollo y alta probabilidad de metástasis, su tratamiento habitual es la cirugía.
Referencia:
Cobo, I. et al. "NFIC regulates ribosomal biology and ER stress in pancreatic acinar cells and restrains PDAC initiation" Nature Communications (2023)
Publicidad






