Una nueva estrategia combate el deterioro de las células madre sanguíneas
Una nueva estrategia combate el deterioro de las células madre sanguíneas
Un estudio del Centro Nacional de Investigaciones Oncológicas ha ahondado en las causas moleculares del envejecimiento de las células madre responsables de regenerar las células de la sangre, lo cual abre vías para reducir su deterioro con la edad.
Publicidad
Juan Méndez, responsable del Grupo de Replicación de ADN del Centro Nacional de Investigaciones Oncológicas (CNIO), ha dirigido una investigación que pemite avanzar en la comprensión de las causas moleculares del envejecimiento de las células madre responsables de regenerar las células de la sangre.
El estudio, publicado en el último número de la revista Nature Communications, abre una nueva vía para reducir este deterioro celular y, a medio o largo plazo, podría también facilitar el desarrollo de tratamientos contra las anemias aplásicas, uno de los efectos secundarios más frecuentes producidos por la quimioterapia y la radioterapia en el tratamiento de pacientes de cáncer.
En 2014, Méndez participó en una investigación internacional, dirigida por un grupo de la Universidad de California San Francisco (EE UU) y publicada en Nature, en la que se halló el mecanismo celular por el que, con el envejecimiento, se deterioran las células madre que generan los glóbulos rojos, las plaquetas y las células sanguíneas responsables del sistema inmune. Ahora, los investigadores del CNIO han conseguido replicar este fenómeno en embriones de ratón.
Replicación del ADN
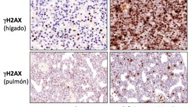
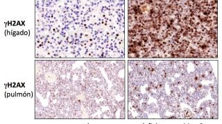
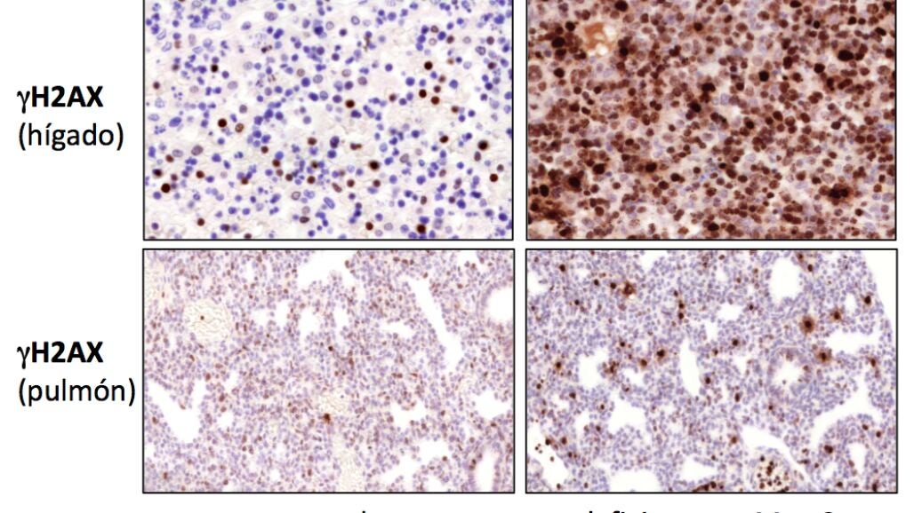
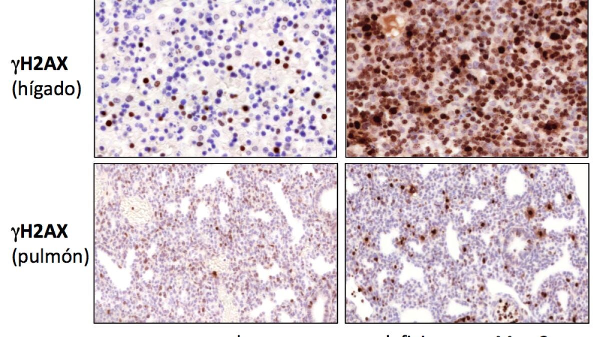
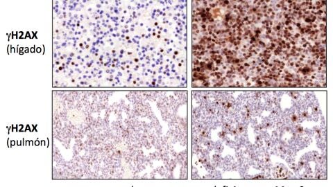
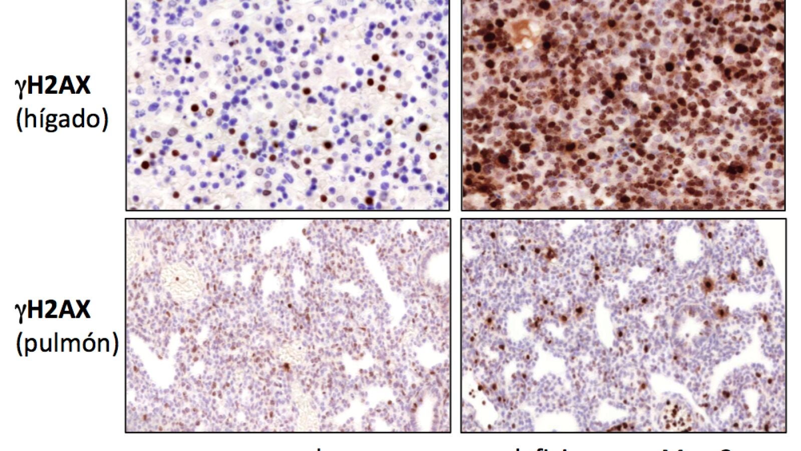
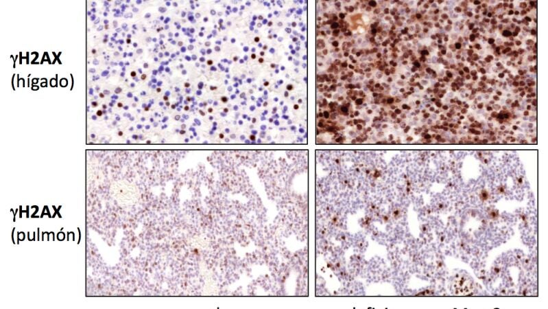
Para ello, han reducido en estos embriones los niveles del gen MCM3, uno de los componentes del complejo MCM encargado de separar las dos cadenas de la doble hélice del ADN durante su replicación. La replicación del ADN es un proceso esencial mediante el cual, cuando una célula está a punto de dividirse, realiza una copia idéntica de su genoma para que cada una de estas copias se transmita a las dos futuras células hijas. Las células necesitan mantener niveles elevados de MCM durante el copiado del ADN, ya que de lo contrario tiene lugar un fenómeno conocido como estrés replicativo, que puede causar daños irreversibles en el genoma.
“Cuando reducimos los niveles del gen MCM3 en todo el organismo, observamos que el estrés replicativo afecta de manera especial a las células madre que dan lugar a todas las células de la sangre, y muy especialmente a las células precursoras de los glóbulos rojos”, explica Méndez.
“En los organismos adultos, la producción y maduración de glóbulos rojos ocurre en la médula ósea, pero durante el desarrollo embrionario se produce principalmente en el hígado fetal. En los animales deficientes en MCM3, las células madre del hígado fetal están deterioradas y los embriones desarrollan una forma grave de anemia que impide que lleguen a nacer. Podríamos decir que el estrés replicativo convierte a las células madre fetales, que deberían de funcionar perfectamente, en células muy envejecidas. Esto lo hemos comprobado mediante experimentos de transplante, en los que las células fetales con estrés replicativo no son capaces de reconstituir adecuadamente el sistema sanguíneo en animales receptores”, agrega.
Estrés replicativo
Los investigadores consiguieron evitar la letalidad embrionaria aumentando los niveles del gen CHK1. “Es uno de los genes responsables de proteger a las células contra el estrés replicativo. Podría decirse que es un supervisor de la replicación del ADN: cuando algo va mal, CHK1 ralentiza o detiene la división celular hasta que el problema se haya solucionado”. Los ratones sometidos a estrés replicativo por la pérdida de MCM3 pero con niveles más altos de CHK1 mostraron una anemia menos acusada, por lo que 4 de cada 10 embriones se desarrollaron con normalidad y completaron la gestación.
Según los autores, “una implicación interesante de este trabajo es que este tipo de anemia causada por el estrés replicativo es muy similar a la anemia aplásica que surge como complicación en muchos pacientes que reciben quimio o radioterapia, precisamente porque estos tratamientos introducen daños masivos en el ADN de las células proliferantes. Un camino a explorar en próximas investigaciones será intentar que estos resultados permitan desarrollar tratamientos contra esta anemia, pero también contribuyan a paliar los efectos del envejecimiento sobre las células madre del sistema sanguíneo”.
Los tres primeros firmantes del trabajo son los investigadores predoctorales Silvia Álvarez, Marcos Díaz y Johanna Flach. En el proyecto también han colaborado el Grupo de Inestabilidad Genómica del CNIO, dirigido por Óscar Fernández-Capetillo, el Centro Nacional de Investigaciones Cardiovasculares (CNIC) y la Universidad de California en San Francisco (EE UU). La investigación ha sido financiada por el Ministerio de Economía y Competitividad.
Referencia bibliográfica:
Silvia Alvarez, Marcos Díaz, Johanna Flach, Sara Rodriguez-Acebes, Andrés J. Ló́pez-Contreras, Dolores Martínez, Marta Cañamero Oscar Fernandez-Capetillo, Joan Isern, Emmanuelle Passegué, Juan Méndez. "Replication stress caused by low MCM expression limits fetal erythropoiesis and hematopoietic stem cell functionality". Nature Communications (2015). doi: 10.1038/ncomms9548
Publicidad





