Las hormonas tiroideas disminuyen el desarrollo de fibrosis
Las hormonas tiroideas disminuyen el desarrollo de fibrosis
Científicos del Instituto de Investigaciones Biomédicas “Alberto Sols” han descubierto que las hormonas tiroideas inhiben las acciones del factor TGFb, determinante en el avance de los procesos fibróticos que afectan a órganos vitales. El trabajo se publica en la revista PNAS.
Publicidad
La fibrosis se caracteriza por la acumulación de matriz extracelular, sobre todo de colágeno, que conduce a la destrucción de la estructura y función del órgano afectado. Los procesos fibróticos constituyen un importante problema sanitario y son una de las causas principales de muerte en países desarrollados. Hasta el momento, no existen terapias capaces de revertir o parar su progresión.
Se sabe que la proteína TGFb tiene un papel crucial en el desarrollo de la fibrosis, por lo que se ha propuesto el uso de inhibidores de este factor para controlar procesos fibróticos, pero los compuestos disponibles son muy tóxicos y por tanto no pueden ser utilizados clínicamente.
Ahora, un estudio publicado en PNAS por científicos de la Universidad Autónoma de Madrid (UAM) y el Consejo Superior de Investigaciones Científicas (CSIC), demuestra que la unión de la hormona tiroidea a su receptor nuclear frena las acciones del TGFb.
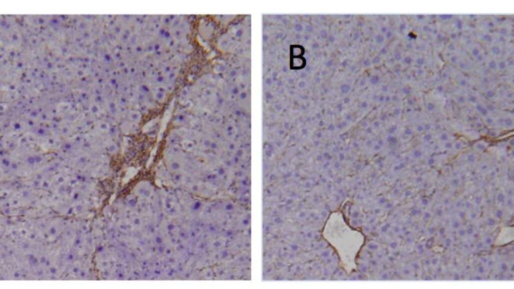
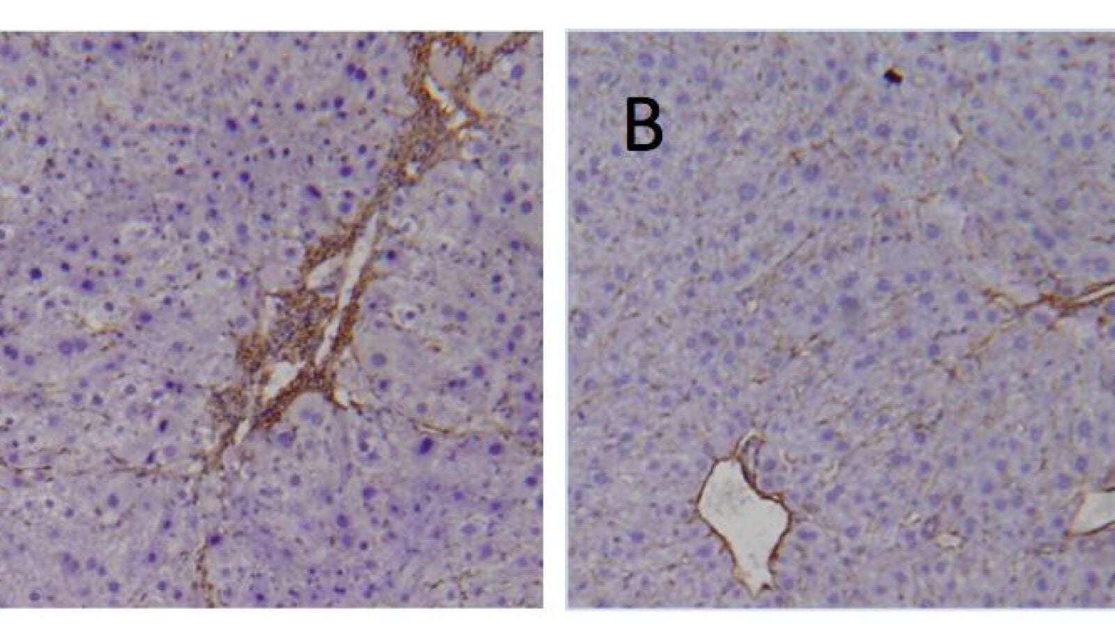
“Hemos demostrado que la administración previa de hormonas tiroideas a ratones sometidos a tratamientos con drogas que inducen fibrosis, mejora de forma significativa la deposición de colágeno y los marcadores de fibrosis”, afirma Ana Aranda, del Instituto de Investigaciones Biomédicas “Alberto Sols” (centro mixto UAM-CSIC).
“Por otra parte, hemos observado que ratones modificados genéticamente que carecen de los receptores de hormonas tiroideas desarrollan con la edad fibrosis hepática espontáneamente, lo que confirma el papel de estos receptores como represores endógenos de los procesos fibróticos”, agrega la investigadora.
Sin embargo, de acuerdo con los autores, las hormonas tiroideas no podrían utilizarse como agentes antifibróticos debido a sus fuertes efectos secundarios. Pero los resultados obtenidos sugieren la posibilidad de desarrollar análogos de estas hormonas con menos efectos colaterales, los cuales podrían ser útiles para bloquear la progresión de los procesos fibróticos.
Referencia bibliográfica:
Elvira Alonso-Merinoa, Rosa Martín Orozco, Lidia Ruíz-Llorente, Olaia A. Martínez-Iglesias, Juan Pedro Velasco-Martín, Ana Montero-Pedrazuela, Luisa Fanjul-Rodríguez, Constanza Contreras-Jurado, Javier Regadera, and Ana Arand. The thyroid hormones inhibit TGFβ signaling and attenuate fibrotic responses. PNAS. DOI: 10.1073/pnas.1506113113
Publicidad





