La falta de una proteína hace los tumores más agresivos
La falta de una proteína hace los tumores más agresivos
Científicos españoles han descubierto el importante papel que desempeña una proteína nuclear como inhibidor del crecimiento tumoral y de la formación de metástasis. El trabajo, liderado desde el Instituto de Investigaciones Biomédicas “Alberto Sols”, se publica en la revista PNAS.
Publicidad
El correpresor 1 de receptor nuclear o NCoR es una proteína que participa en la regulación de la expresión génica afectando numerosos procesos fisiológicos. Dada su importancia en la represión o silenciamiento de genes, estudios recientes habían sugerido que también podría desempeñar un papel relevante en la iniciación o progresión de tumores.
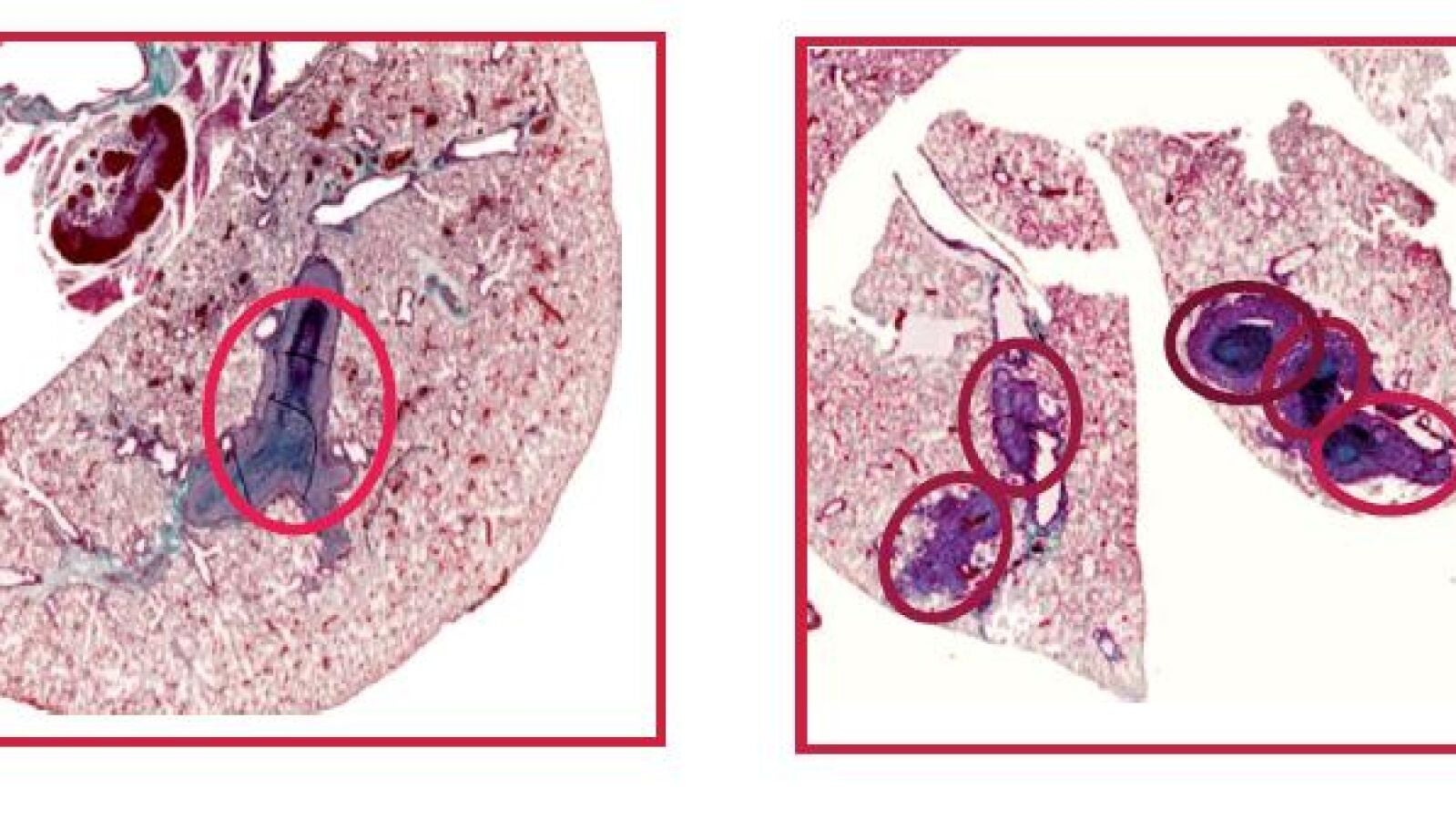
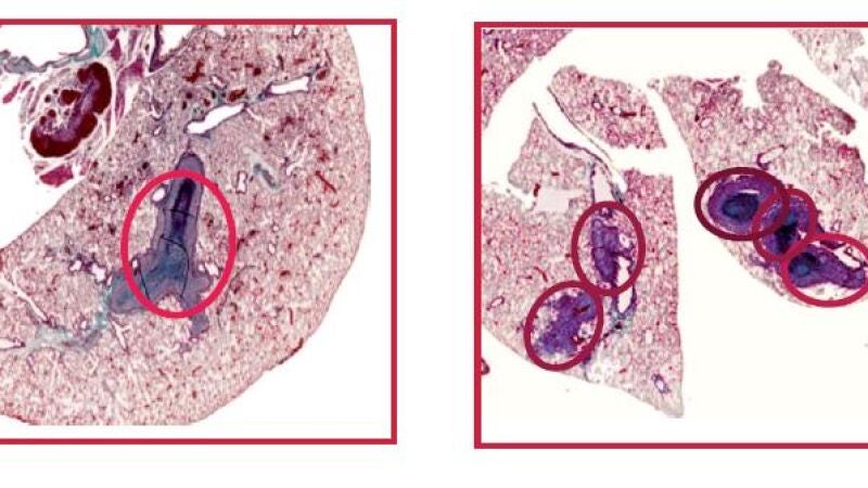
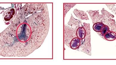
Ahora, un equipo de científicos españoles ha demostrado que, en ausencia de NCoR, los tumores adquieren mayor tamaño y son más invasivos. Los resultados, obtenidos mediante xenotransplantes en ratones inmunodeprimidos, han sido publicados en la revista PNAS.
“Los efectos observados en ausencia de NCoR se correlacionan con un aumento de la transcripción de un conjunto de genes prometastásicos que aumentan la malignidad de los tumores y disminuyen la supervivencia de los pacientes de cáncer”, afirma Ana Aranda, que dirigió el trabajo desde el Instituto de Investigaciones Biomédicas “Alberto Sols”, centro mixto UAM-CSIC.
El estudio describe además un mecanismo de autoregulación de la expresión del gen de NCoR, gracias al cual la disminución de los niveles celulares de esta proteína se propaga durante varias generaciones en las células hijas. Esta inhibición, según los autores, podría conferir una ventaja selectiva a la célula cancerígena, contribuyendo a la progresión de los tumores aunque no existan mutaciones en el gen de NCoR.
NCoR y TRb: posibles estrategias terapéuticas
El descubrimiento de NCoR ha resultado esencial para mediar los efectos antitumorales y antimetastásicos del receptor de hormonas tiroideas TRb; efectos que fueron descritos, en un trabajo previo, por el equipo que dirige Ana Aranda.
“La relevancia de estas observaciones para los tumores humanos se pone de manifiesto por el hecho de que la expresión de NCoR y TRb está reducida significativamente en los hepatocarcinomas y en los tumores de mama más agresivos”, señala la investigadora.
Los autores también sugieren que tanto NCoR como TRb son potencialmente útiles para el desarrollo de nuevas estrategias terapéuticas, y que su expresión puede llegar a ser utilizada como un nuevo marcador de diagnóstico o pronóstico en pacientes con algunos tipos de tumores.
En el trabajo participan distintos grupos de la Universidad Autónoma de Madrid (UAM), el Instituto Universitario de Oncología del Principado de Asturias y de los Hospitales La Paz, Ramón y Cajal y 12 de Octubre de Madrid.
Referencia bibliográfica:
“Autoregulatory Loop of Nuclear Corepressor 1 Expression Controls Invasion, Tumor Growth and Metastasis”. Proc Natl Acad Sci U S A. 2016 113(3):E328-37.
Publicidad





