Descubierta una de las piezas clave para tratar el cáncer de páncreas
Descubierta una de las piezas clave para tratar el cáncer de páncreas
El primer tratamiento efectivo para frenar la progresión del tipo más común de cáncer de páncreas, el adenocarcinoma ductal pancreático, está cada vez más cerca. Investigadores del Instituto Hospital del Mar de Investigaciones Médicas han inhibido la proteína galectina-1 como terapia. Por el momento, no hay ningún tipo de tratamiento curativo.

Publicidad
Inhibir la proteína galectina-1 (Gal1) puede convertirse en el primer tratamiento efectivo para frenar la progresión del tipo más común de cáncer de páncreas, el adenocarcinoma ductal pancreático (conocido como PDA), para el cual, en estos momentos, no hay ningún tipo de tratamiento curativo.
Es la conclusión de un estudio internacional liderado por Pilar Navarro (Instituto Hospital del Mar de Investigaciones Médicas (IMIM) y IIBB-CSIC), y por Gabriel Rabinovich, del Laboratorio de Inmunopatología (Instituto de Biología y Medicina Experimental, Buenos Aires, Argentina). El estudio “abre vías translacionales muy interesantes e indica que hay que avanzar en el posible uso clínico de esta nueva diana molecular”, explica Navarro.
La coordinadora del estudio destaca que “nuestro grupo ya había demostrado anteriormente el potencial de Gal1 como diana terapéutica en PDA, pero esta vez hemos hecho el estudio con un modelo transgénico de ratón desarrollado en el Centro Nacional de Investigaciones Oncológicas (CNIO), que presenta la mutación más frecuente que se encuentra en los tumores de páncreas, la mutación del oncogén KRas, lo que nos ha permitido recapitular de forma precisa la progresión tumoral que se observa en humanos”.
A parte del CNIO, el estudio ha contado con la colaboración de oncólogos del Hospital del Mar y de grupos de investigación de los Estados Unidos y Argentina. Además, el estudio ha recibido la primera ayuda concedida por las becas Carmen Delgado/Miguel Pérez Mateo de la Asociación Española de Pancreatología (AESPANC) y de la Asociación Cáncer de Páncreas (ACANPAN). El trabajo lo publica PNAS.
Cuatro vías de aproximación
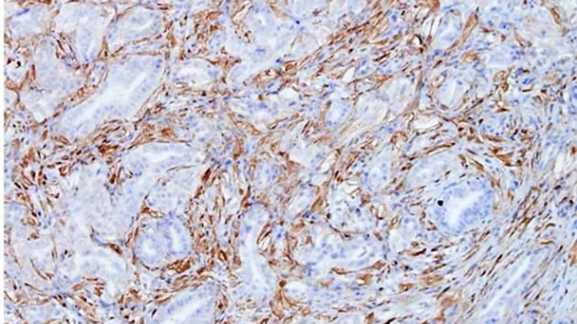
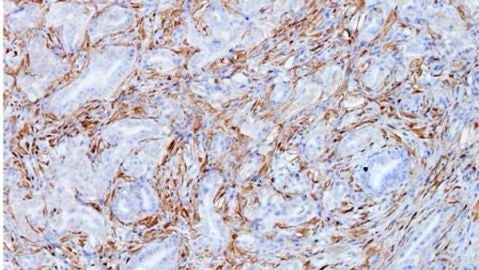
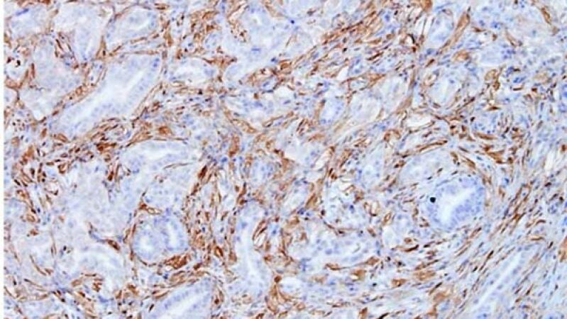
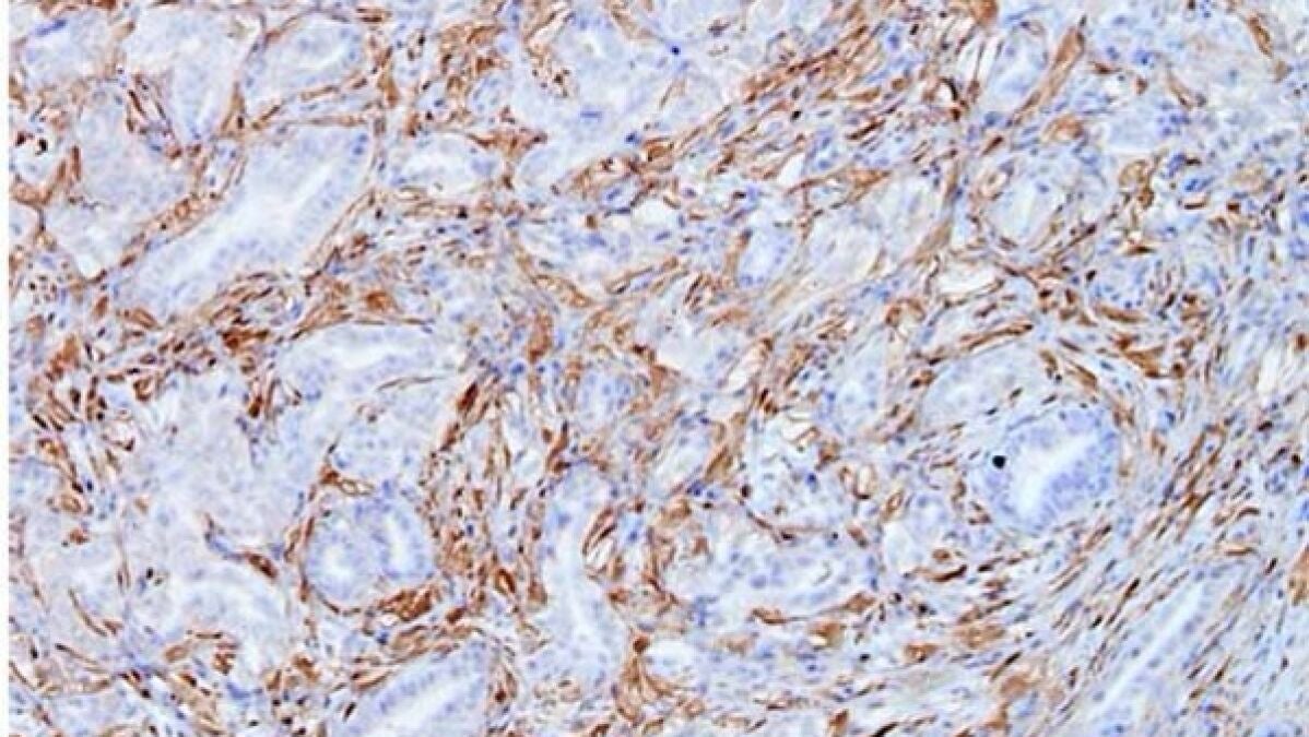
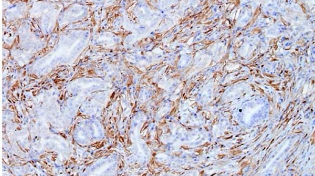
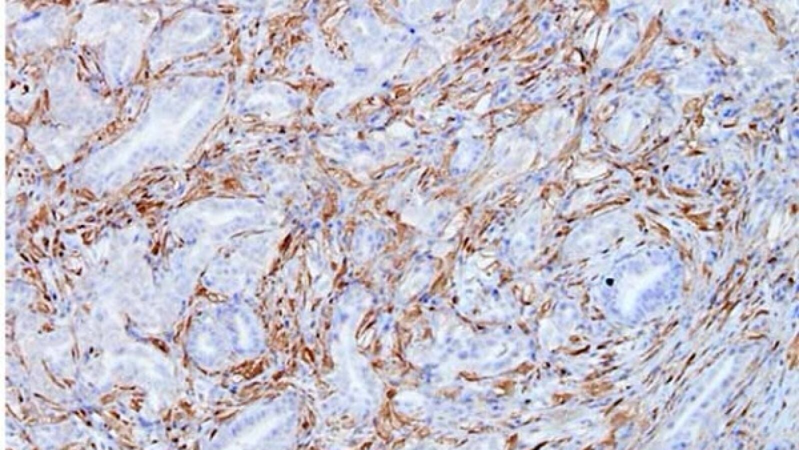
Los tumores ductales de páncreas se desarrollan en un microambiente tumoral particular, que se considera una de las claves para entender su desarrollo y su resistencia a las quimioterapias convencionales, así como la falta de éxito de nuevos tratamientos, como la inmunoterapia. Dentro de este entorno, favorable a las células tumorales y que las aísla del sistema inmunitario y de los tratamientos, hay unas células llamadas fibroblastos, que son las responsables de la producción de grandes cantidades de galectina-1.
Esta proteína tiene un papel vital en todo el proceso de crecimiento del tumor. Incrementa su proliferación, migración e invasión, es decir, lo hace más agresivo. También es una pieza clave en la creación del entorno favorable a su crecimiento y, a la vez, mantiene el sistema inmunitario deprimido, hecho que permite al tumor permanecer invisible.
Carlos Orozco y Neus Martínez-Bosch, miembros del grupo liderado por Navarro y primeros firmantes del estudio, explican que, ante la complejidad del abordaje de este tipo de tumor, ha sido necesario trabajar con “cuatro aproximaciones diferentes para intentar reconstruir el rompecabezas final que nos muestra el papel de Gal1 en el cáncer de páncreas”.
Por este motivo, se han hecho estudios in vivo, con un modelo transgénico en ratones para ver cómo afecta la inhibición de esta proteína al desarrollo del tumor, y también otras tres estrategias con células humanas, in vitro, in vivo, con modelos de ratón, y estudios moleculares genómicos de gran escala.
Inhibir Gal1, una vía para tratar el cáncer de páncreas
Martínez Bosch confirma que los resultados obtenidos indican que “la inhibición de Gal1 frena el crecimiento del tumor y restablece la vigilancia de nuestro sistema inmunitario para reconocer y rechazar a las células tumorales, la cual cosa dificulta que el tumor siga progresando”.
En este sentido, Pilar Navarro apunta que “cuando se elimina Gal1 de los tumores, los animales viven más tiempo gracias al hecho que los tumores progresan más lentamente, son menos agresivos y hacen menos metástasis”.
A pesar de ello, se trata de un estudio preclínico con modelos animales y se tienen que hacer nuevos estudios que validen la inhibición de Gal1 como alternativa terapéutica en humanos. También permitiría abrir una nueva vía para conseguir que la inmunoterapia, que hasta ahora no ha tenido éxito en este tipo de tumor, sea efectiva, utilizando inhibidores de Gal1 solos o combinándolos con los actuales fármacos.
En este sentido, Clara Montagut, jefa de sección de tumores digestivos en el Hospital del Mar, indica que “el adenocarcinoma de páncreas es un tumor altamente agresivo en el cual los tratamientos que tenemos actualmente son limitados, por lo tanto, la identificación preclínica de nuevas dianas terapéuticas abre una esperanza para el desarrollo de nuevos fármacos en estos pacientes, que primero habrá que testar en ensayos clínicos”.
El cáncer de páncreas
El adenocarcinoma ductal pancreático es el subtipo más frecuente de cáncer de páncreas. Representa el 85% de los casos diagnosticados y, a pesar de que su prevalencia es de solo el 3%, es el cuarto en el número de muertes relacionadas con esta enfermedad. En el año 2016 se detectaron 606 casos de cáncer de páncreas en hombres y 562 en mujeres en Cataluña. En España, en el año 2015 se detectaron 3.513 en hombres y 3.401 en mujeres.
Presenta una supervivencia de solo el 8% al cabo de 5 años, y se calcula que en el año 2030 podría ser la segunda causa de muerte por cáncer en los países desarrollados. Los bajos niveles de supervivencia los provoca el hecho que no hay ninguna forma de diagnóstico precoz, ya que presenta una baja sintomatología y cuando se detecta a menudo ya se encuentra en estadios avanzados, sumado al hecho que no responde a tratamientos convencionales.
Referencia bibliográfica:
Targeting galectin-1 inhibits pancreatic cancer progression by modulating tumor–stroma crosstalk. Carlos A. Orozco, Neus Martinez-Bosch, Pedro E. Guerrero, Judith Vinaixa, Tomás Dalotto-Moreno, Mar Iglesias, Mireia Moreno, Magdolna Djurec, Françoise Poirier, Hans-Joachim Gabius, Martin E. Fernandez-Zapico, Rosa F. Hwang, Carmen Guerra, Gabriel A. Rabinovich and Pilar Navarro. PNAS April 3, 2018. 201722434; published ahead of print April 3, 2018. https://doi.org/10.1073/pnas.1722434115
Publicidad





