Descrita una estrategia molecular para evitar la formación de tumores en ratones
Descrita una estrategia molecular para evitar la formación de tumores en ratones
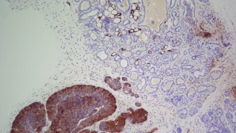
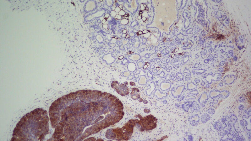
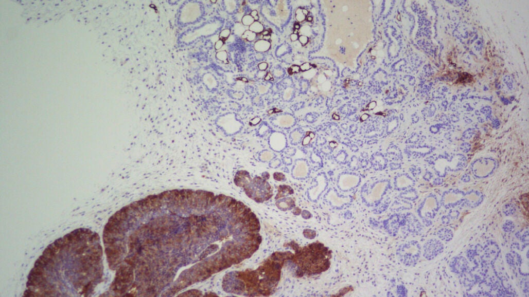
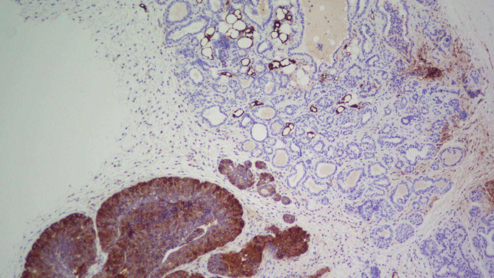
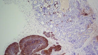
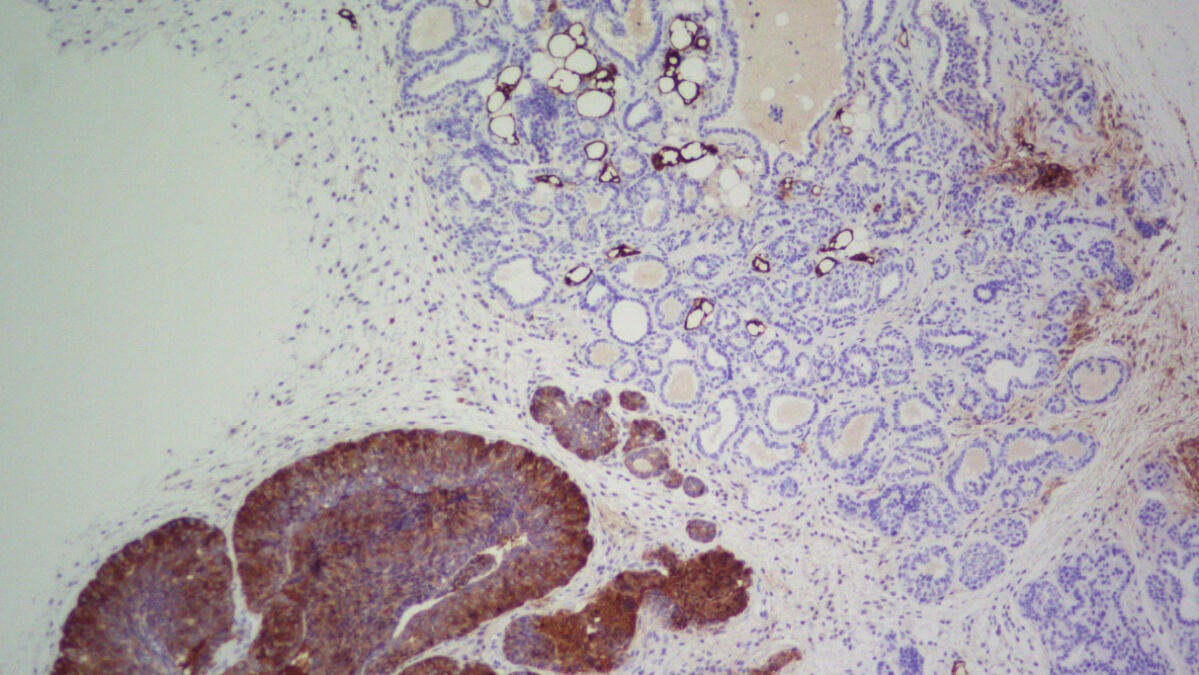
Investigadores del CNIO han descubierto que la enzima FASN, sobreexpresada en numerosos tipos de cáncer, es crucial para que se produzca uno de los procesos esenciales por el cual una célula normal se transforma en cancerosa. Bloquear FASN en un modelo animal de cáncer de mama agresivo retrasó la aparición de tumores y amplió su supervivencia en un 68 %.
Publicidad
El organismo cuenta con un proceso de fabricación de ácidos grasos que está regulado por la enzima FASN. En células normales, este proceso está muy poco activo –salvo de forma puntual en el hígado y el tejido adiposo–, ya que la mayor parte de los ácidos grasos que necesitamos para el mantenimiento celular se obtienen de manera externa a través de la dieta.
Sin embargo, se sabe que FASN está sobreexpresada en muchos tipos de cáncer, como el de próstata, mama, tiroides, colorrectal, de vejiga, pulmón o páncreas. Por ello, y aunque todavía no se conoce bien su relación con la enfermedad, científicos de todo el mundo lo estudian como potencial diana contra el cáncer.
Ahora, un equipo de investigadores liderados por Miguel Ángel Quintela, jefe de la Unidad de Investigación Clínica de Cáncer de Mama del Centro Nacional de Investigaciones Oncológicas (CNIO), ha descubierto la conexión de FASN con el cáncer y han demostrado que las terapias que la inhiben son altamente eficaces en la fase de formación del cáncer para evitar el desarrollo de los tumores en ratones y en cultivos celulares, y no para tratarlo cuando ya ha aparecido. Los resultados se publican en Nature Communications.
Uno de los principales hallazgos del trabajo es que la importancia de FASN para el desarrollo del cáncer no está relacionada con su capacidad para generar ácidos grasos. Hasta ahora, se pensaba que las células tumorales sobreactivan FASN para poder generar energía, construir su membrana celular, etc.
“Sin embargo, en el trabajo demostramos que el cáncer sigue captando esos ácidos grasos de manera externa”, explica Quintela, líder del estudio. “Por lo tanto, la función de FASN de sintetizar ácidos grasos no es necesaria para el cáncer”.
Lo que sí necesita el cáncer de FASN es que le ayude a surgir. Los investigadores han descubierto que FASN es esencial para que se lleve a cabo uno de los procesos claves en la transformación de una célula normal en una célula cancerosa: el crecimiento independiente del anclaje, es decir, poder crecer sin estar sujeta a una superficie sólida, una capacidad que la célula normal no tiene.
“Entre otras señales –como la capacidad de invasión, la resistencia a la muerte celular programada, etc.–, una característica vital que define que una célula se está transformando a maligna es que pueda crecer autónomamente y separarse del tejido al que está anclada”,añade Quintela. “En cuanto se separan, las células normales entran en un proceso llamado anoikis y mueren, mientras que las tumorales tienen la capacidad de seguir creciendo”.
Sin FASN, no hay tumor
Trabajando con un modelo transgénico de ratón que desarrolla un tipo agresivo de cáncer de mama, el equipo comprobó que al eliminar FASN los tumores no aparecían. Quintela indica por qué: “El crecimiento independiente del anclaje aumenta la cantidad de radicales libres que producen las mitocondrias, lo que, llegado a un punto de acumulación, asfixiaría a las células del cáncer y estas morirían”.
“Lo evitan utilizando FASN, ya que regula un proceso llamado carboxilación reductiva que elimina este exceso de radicales libres. Por ello, cuando bloqueamos FASN en nuestro trabajo, los radicales libres se acumularon sin freno, lo que impidió que se produjera el crecimiento malignizado”, subraya.
El equipo confirmó estos resultados en cultivos de células normales de ratón, en las que sobreexpresaban conocidos oncogenes –como KRAS (relacionado con cáncer de pulmón) o PyMT y HER2 (relacionados con cáncer de mama)– para inducir la transformación de las células normales a tumorales. Al eliminar la expresión de FASN, las células normales no realizaban la transformación a tumorales, aunque los oncogenes sí estuvieran sobreexpresados.
Investigadores de todo el mundo están estudiando el potencial de FASN para tratar determinados tipos de cáncer. Sin embargo, los resultados del equipo del CNIO apuntan a que su eficacia es preventiva, no terapéutica.
“En nuestro modelo de ratón que desarrolla un cáncer de mama muy penetrante, las zonas en las que hay FASN sí desarrollan cáncer, mientras que en las zonas donde lo bloqueamos no llegaron a generarse tumores y la supervivencia aumentó en un 68 %”, dice Quintela. “Pero cuando tratamos de inhibir FASN con los tumores ya establecidos, hubo un pequeño efecto transitorio que casi no afectó a la progresión”.
En próximos pasos de la investigación, el equipo tratará de estudiar las implicaciones de estos hallazgos para la metástasis y para la respuesta del sistema inmunitario a los tumores. También, en el futuro, se podría analizar el potencial del hallazgo para su posible aplicación en poblaciones de riesgo.
Referencia bibliográfica:
Maria J. Bueno et al . Essentiality of fatty acid synthase in the 2D to anchorage-independent growth transition in transforming cells (Nature Communications, 2019). DOI: 10.1038/s41467-019-13028-1
El estudio ha sido financiado por el Ministerio de Ciencia, Innovación y Universidades, el Instituto de Salud Carlos III, el Ministerio de Sanidad, Consumo y Bienestar Social, la Asociación Española Contra el Cáncer (AECC), los Institutos Nacionales de Salud (NIH) de EE.UU., la Junta de Castilla y León, la Fundación BBVA, la Fundación Ramón Areces, la Fundación CRIS Contra el Cáncer y AVON España.
Publicidad





