USAN NANOPARTICULAS DE ORO
Descubren una técnica para detener la metástasis en enfermos de cáncer
Un nuevo estudio del Georgia Tech's School de Atlanta (EE. UU.), publicado en la revista PNAS, narra la manera de detener la propagación de las células cancerosas.

Publicidad
“La metástasis es responsable de la mayoría de las muertes relacionadas con el cáncer, pero los tratamientos clínicos actuales no son eficaces. Recientemente, se descubrieron las nanopartículas de oro (AuNPs) para inhibir la migración de células de cáncer y prevenir la metástasis”, indican los investigadores en su estudio.
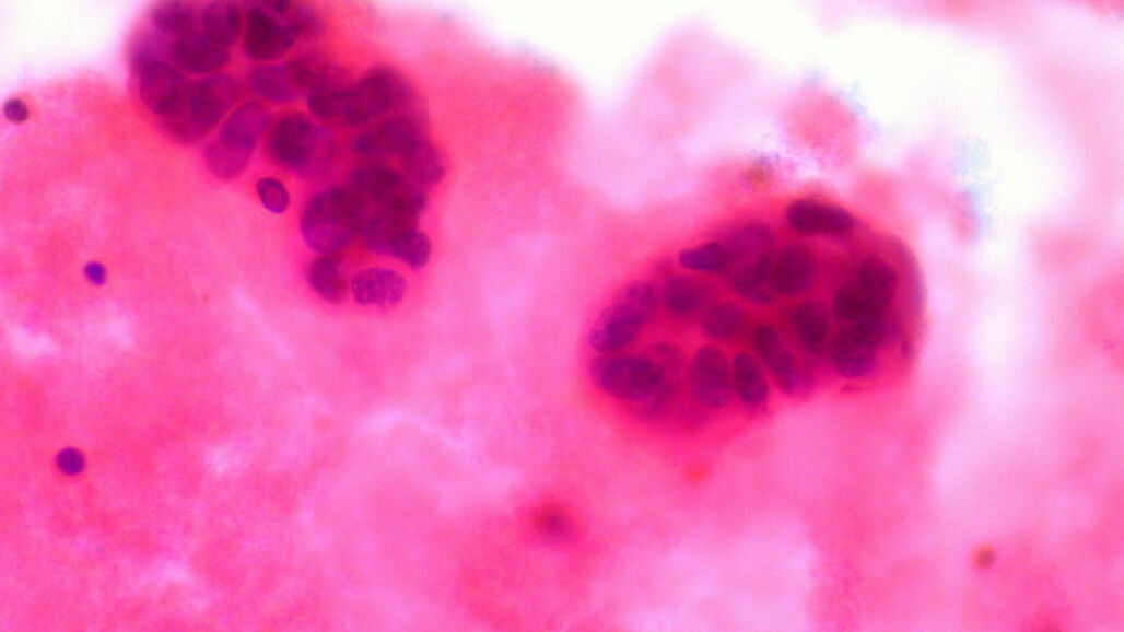
Las células cancerosas se propagan por los órganos aledaños gracias a un conjunto de protrusiones. Estas diminutas 'piernas' son las que hacen que las células sanas se muevan dentro del tejido, aunque en el caso de aquellas dañadas por el cáncer aceleran la metástasis.
Así, los investigadores decidieron cortar estas protrusiones usando nanobastones hechos de nanoparticulas de oro.
Los nanobastones fueron cubiertos con un revestimiento de moléculas, llamadas péptidos RGD, que los hicieron adherirse a un tipo específico de proteína llamada integrina.
"Los nanorods dirigidos ataron la integrina y bloquearon sus funciones, así que no podían seguir guiando el citoesqueleto para sobreproducir lamellipodia y filopodia," explican los autores de del trabajo.
Los experimentos en laboratorio revelaron que la simple unión de los nanobastones a la integrina retrasó la migración de las células cancerosas evitando, eso sí, las células sanas, por lo que este método podría ser capaz de destruir las células cancerosas y no afectar a los pacientes, como ocurre con la quimioterapia.
En una segunda etapa del experimento, los científicos calentaron las nanopartículas de oro con un láser de luz infrarroja cercana, que acabó no solo deteniendo la migración de las células malignas sino aniquilando gran parte de las células cancerosas.
Los autores están convencidos de que esta técnica podría ser ajustada para matar las células malignas y poder tratar "cánceres de cabeza, cuello, mama y piel con inyecciones directas locales de nanobastones combinadas con el láser de infrarrojo cercano de bajo consumo”.
Publicidad





