CURIOSIDAD
Antes y después del smartphone: los cambios cerebrales que confirma la ciencia
La revolución de internet y de las redes sociales han transformado nuestro día a día. Sin embargo, científicos advierten de que también tiene un efecto directo en nuestra salud cerebral.

Publicidad
El móvil se ha convertido en una extensión de nosotros mismos. Lo llevamos a todas partes y no solo ha transformado la forma en que trabajamos o nos comunicamos, sino que también está modificando la estructura de nuestro cerebro.
Diversas investigaciones científicas advierten que el uso excesivo del móvil especialmente de redes sociales y vídeos cortos podría generar alteraciones similares a las que se observan en los trastornos adictivos, pues cada vez tenemos más información, estímulos y conexiones al alcance de un solo clic.
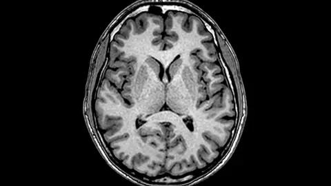
Un estudio realizado en la Universidad de Heidelberg detectó que los jóvenes con un uso intensivo del teléfono presentan una reducción de la materia gris del cerebro en áreas relacionadas con la memoria, la empatía y el autocontrol. Ubicada en la corteza cerebral, la materia gris es un tejido del sistema nervioso central responsable de estas funciones cognitivas.

Según el investigador Christian Montag, estos cambios son comparables a los que se producen en adicciones conductuales. Al mismo tiempo, la OMS alertó de un aumento del 25 % en los casos de ansiedad y depresión durante la pandemia, que además de la soledad provocada en numerosos casos por el aislamiento esto propició que se aumentara el uso y el tiempo ante las pantallas.
El fenómeno conocido como "brain rot", en español "cerebro podrido", describe la apatía y la pérdida de concentración provocadas por el consumo constante de contenido superficial y repetitivo.
Esto es una tendencia cada vez más habitual que se da al uso de las redes sociales, evidentemente esto no tiene nada que ver con el propio dispositivo tecnológico sino con el uso que se hace de él.
Publicidad





