OCURRIÓ EN LA INDIA
Una joven acude al médico con un bulto en el abdomen y descubren que era el feto de su hermano gemelo
Los médicos hallaron pelo, tejido óseo y otras partes del cuerpo en el interior del tumor. Se trata de un caso de 'fetus in fetu', una condición extremadamente rara que se da solamente en uno de cada 500.000 nacimientos.

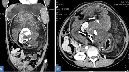
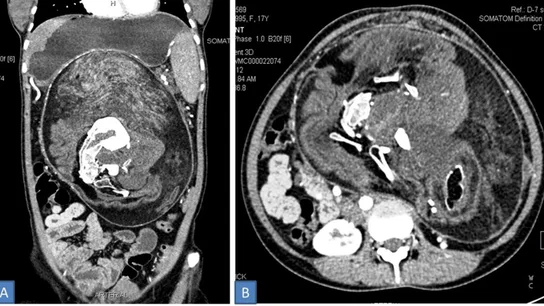
Una joven india de 17 años acudió al médico por un bulto que llevaba creciendo en su abdomen durante cinco años y que en ocasiones le causaba dolor. Tras realizarle un escáner, los médicos comprobaron que el tumor era en realidad el feto de su hermano gemelo.
Según recoge 'BMJ Case Reports', la tomografía detectó una masa de unos 25x23x15 centímetros en el interior del cuerpo de la paciente. El tumor, de acuerdo con el artículo del caso, presentaba "áreas de densidad grasa, tejido blando y componentes de densidad calcificada de diferentes tamaños, cuya forma era similar a la de vértebras, costillas y huesos largos".

Los médicos decidieron intervenir a la chica y le extrajeron el tumor, que contenía "pelo, huesos maduros y otras partes corporales". Tras la operación, los doctores comprobaron que la masa medía 30×16×10 centímetros y contenía además "múltiples dientes y estructuras similares a principios de extremidades".
Tras analizarla bajo el microscopio, los especialistas determinaron que contenía una mezcla de tejidos "neural, intestinal, cartilaginoso y óseo junto con estructuras anexiales de la piel y tejido adiposo", según reflejan en el artículo médico del caso, recogido en la citada publicación.
Según los autores del estudio, se trataba de un caso de 'fetus in fetu' (FIF), también conocida como 'gemelo parásito', una condición muy infrecuente en la que un feto malformado se encuentra en el interior de su gemelo vivo. Solo se da en uno de cada 500.000 niños nacidos vivos y del que se conocen menos de 200 casos en la literatura médica.
Normalmente, indican, el trastorno se detecta en edades más tempranas y en varones. Así, este sería el octavo caso conocido de 'fetus in fetu' en una persona adulta, y el primero en una mujer adulta en el mundo.
Tras la intervención, recoge el artículo, la paciente evolucionó favorablemente y su estado es normal. "Estaba muy preocupada por mi bulto abdominal", indica la paciente, en declaraciones recogidas por el citado artículo académico, "me siento muy bien y mi abdomen ahora esta plano, mis padres también están muy contentos".